Lien pour télécharger le document :
>>>>>> Lien Du Document <<<<<
Double lèvre
1- Introduction :
--------------------
--------------------
- Le syndrome d’Ascher est caractérisé par la triade : doublelèvre, blépharochalasis et goitre thyroïdien non toxique..- La double lèvre est le plus souvent observée à la lèvresupérieure sous la forme de deux tuméfactions séparées parl’insertion du frein labial supérieur . Elle est rarement visible en occlusion labiale mais elle est découverte lors des mouvements labiaux (phonation,sourire) qui font extérioriser ces masses hypertrophiques. Parfois, la masse hypertrophique est unilatérale ou observée sur la lèvre inférieure .
2 -Étiologie :
----------------
----------------
- L’origine de l’apparition d’une double lèvre peut être
héréditaire ou acquise.
Lorsqu’elle est acquise, elle est due à un traumatisme, une parafonction labiale, un diastème ou l’absence de recouvrement incisif. Dans ces cas, l’orthophonie, l’orthodontie ou une réhabilitation prothétique entraînent une régression des masses hypertrophiques.
3 - Diagnostic différentiel :
---------------------------------
---------------------------------
Le diagnostic différentiel face à une double lèvre doit être posé avec un hémangiome, un lymphangiome, une granulomatose glandulaire, une chéilite glandulaire ou l’angio-œdème héréditaire
Lorsque le diagnostic de syndrome d’Ascher est posé et que
toute origine locale traumatique ou tumorale a été écartée,
Lorsque le diagnostic de syndrome d’Ascher est posé et que
toute origine locale traumatique ou tumorale a été écartée,
4 - Conduite à Tenir :
----------------------------
----------------------------
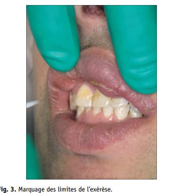
La prise en charge chirurgicale à visée esthétique et fonctionnelle
est indiquée lorsque les masses hypertrophiques gênent la
phonation ou la mastication . La prise en
charge chirurgicale a été réalisée sous anesthésie locale. Elle
consistait en une plastie labiale supérieure par laser diode
avec exérèse du tissu hypertrophique en deux temps espacés
de 1 mois. La prescription d’antalgiques de palier 1 est recommandée pendant 3 à 5 jours et une alimentation liquide et
froide pendant 3 jours est préférable.
Un cas traité Sur Image






0 commentaires:
Enregistrer un commentaire